В Подмосковье врачи спасли подростка с огромным новообразованием в ноге
Минздрав: подростка с огромным новообразованием в ноге спасли в Подмосковье
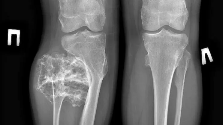
:focal(0.51:0.6):format(webp)/YXJ0aWNsZXMvaW1hZ2UvMjAyNi8xL3Bob3RvLTIwMjYtMDEtMjctMTEtMjgtMzMuanBn.webp)
Фото: [Министерство здравоохранения МО]
Специалисты Московской областной детской клинической травматолого-ортопедической больницы (МОДКТОБ) спасли 15-летнего подростка с огромным твердым новообразованием в области малоберцовой кости. Об этом сообщает Министерство здравоохранения Московской области.
Врачи выявили у него остеохондрому, которая представляет собой доброкачественное костное новообразование размером 9х8х8 см. Пациенту провели плановое хирургическое лечение.
«Как правило, опухоль обнаруживают совершенно случайно. Отсутствие боли и дискомфорта у пациента в начале развития новообразование дает возможность опухоли вырасти до внушительных размеров, что может приводить даже к деформации костей конечностей», — отметил врач-травматолог-ортопед МОДКТОБ Сергей Хохлов.
По его словам, в рамках операции специалисты удалили образование в пределах здоровой костной ткани, функцию ноги удалось сохранить. После полученного лечения подростка выписали домой на амбулаторное лечение.
Ранее губернатор Московской области Андрей Воробьев открыл новое родильное отделение в Лапино-4.